跳至主要內容
Logo1
  • 首頁
  • 關於Dr.曹
  • 前牙美學
  • 人工植牙
  • 陶瓷嵌體
  • 臨床案例
    • 牙齒美白
    • 後牙仿真全瓷
    • 仿真樹脂填補
  • 影音專區
  • 服務據點
  • 文章新知
  • 首頁
  • 關於Dr.曹
  • 前牙美學
  • 人工植牙
  • 陶瓷嵌體
  • 臨床案例
    • 牙齒美白
    • 後牙仿真全瓷
    • 仿真樹脂填補
  • 影音專區
  • 服務據點
  • 文章新知

臨床案例

  • 仿真樹脂填補總覽
04. 移除橡皮障 Rubber Dam

仿真樹脂填補

02 Img 0247

仿真樹脂填補

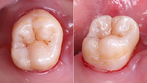
03. 擬真樹脂修復加上適當的窩溝染色

仿真樹脂填補

04 Img 0039

仿真樹脂填補

05 Img 1260

仿真樹脂填補

06 3

仿真樹脂填補

Footer Logo3
  • 新北市板橋區民權路210號
  • 02-82752838
  • 新北市板橋區民權路210號
  • 02-82752838
Facebook Instagram Line Youtube
行事曆 底

Copyright © 2020 Prosthotsao.com

前牙
美學
人工
植牙
Line Icon
陶瓷
嵌體
牙齒
美白