跳至主要內容
首頁
關於Dr.曹
前牙美學
人工植牙
陶瓷嵌體
臨床案例
牙齒美白
後牙仿真全瓷
仿真樹脂填補
影音專區
服務據點
文章新知
首頁
關於Dr.曹
前牙美學
人工植牙
陶瓷嵌體
臨床案例
牙齒美白
後牙仿真全瓷
仿真樹脂填補
影音專區
服務據點
文章新知
臨床案例
前牙美學
>
前牙仿真全瓷
[煥然一新]
患者來院時已在外院做完矯正,
不僅牙齒表面有殘存的樹脂, 牙縫還被樹脂卡住.
經過改造後, 牙齒質感煥然一新, 每次的微笑都是自信.
#全瓷冠 #前牙美學 #仿真全瓷
#曹博竣牙醫師
預約曹博竣醫師
觀看更多影片
治療過程
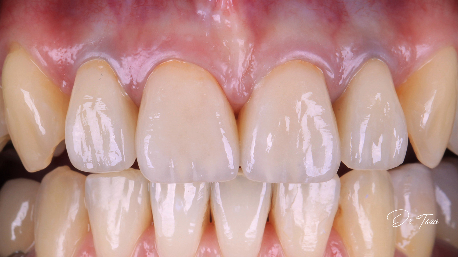
1. 初始狀態. 四顆前牙經過多次填補與再蛀牙, 導致顏色斑駁.
2. 前牙製作. 切端的透明感讓牙齒更真實.
3. 口內裝戴. 四顆前牙與鄰牙相當和諧.
4. 術後黑背景照檢查.
5. 細節特寫. 牙齒表面的紋理特徵, 讓一切更真實.
6. 細節特寫. 表面紋理與切端的透明感, 讓全瓷冠以假亂真.
7. 術前術後對照. 裝戴時患者的WOW~,就是最好的肯定.