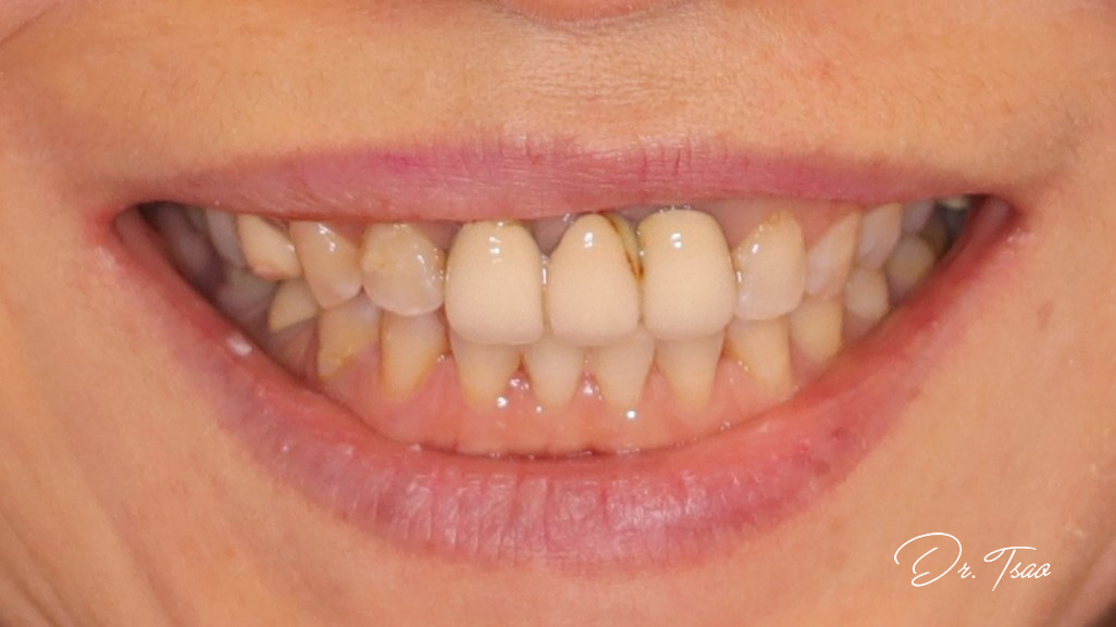
[第三顆門牙]

一雙眼睛, 兩道眉毛, 是我們熟悉的數量,
如果突然數量不對, 一瞬間就會察覺有異.
三顆大門牙也是一樣的情形, 一眼就能察覺它的不自然.

在這個特殊的案例中,
我們巧妙的設計了視覺的錯覺, 來轉移三顆門牙的事實.
改造的成果讓原本的突兀變成了和諧,

這就是我們所追尋的.

#全瓷冠 #傳統假牙置換 #三顆門牙

#仿真全瓷 #前牙美學
#曹博竣牙醫師