跳至主要內容
首頁
關於Dr.曹
前牙美學
人工植牙
陶瓷嵌體
臨床案例
牙齒美白
後牙仿真全瓷
仿真樹脂填補
影音專區
服務據點
文章新知
首頁
關於Dr.曹
前牙美學
人工植牙
陶瓷嵌體
臨床案例
牙齒美白
後牙仿真全瓷
仿真樹脂填補
影音專區
服務據點
文章新知
臨床案例
前牙美學
>
困難案例 單顆前牙
[新娘子的願望]
患者的小門牙因多年前的根管治療變色了
患者希望可以美美的結婚,
我們只有全力以赴.
#全瓷冠 #前牙美學 #仿真全瓷
#牙齒變色
#曹博竣牙醫師
預約曹博竣醫師
觀看更多影片
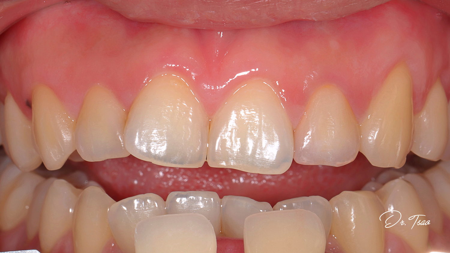
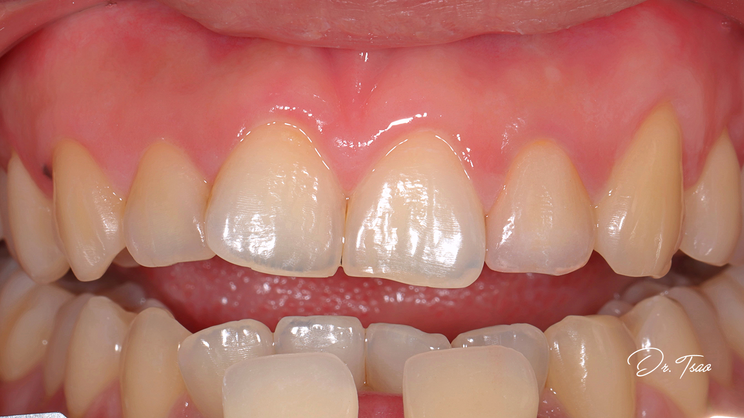
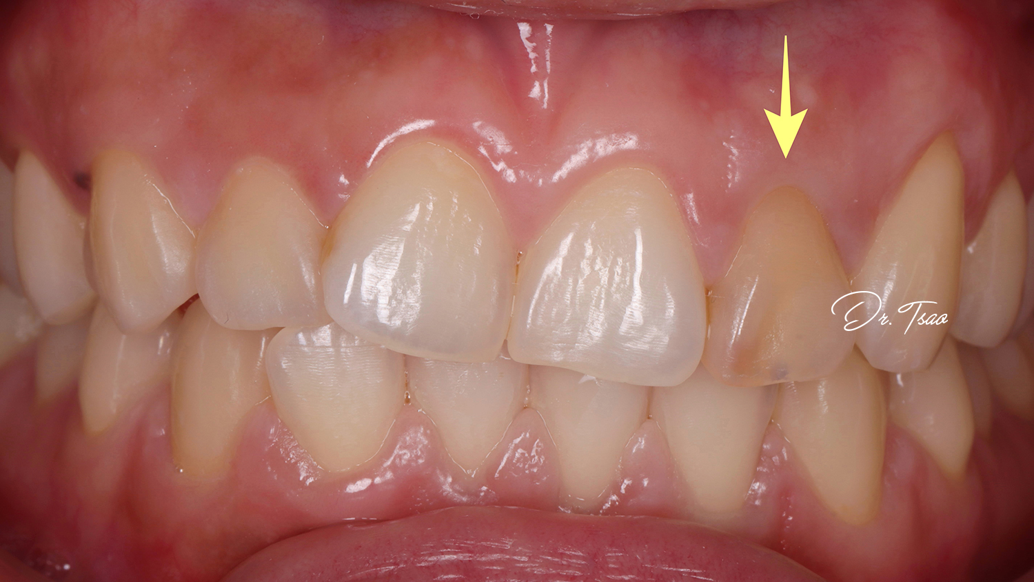
治療過程
1.初始狀態. 患者一顆多年前的根管治療讓小門牙變色了(黃色箭頭).
2.牙齒修磨後. 小門牙本身比較瘦小, 無法修磨太多, 也增加了假牙製作的難度.
3.臨時假牙製作. 製作精良的臨時假牙, 讓前牙修復不再尷尬.
4.近照特寫. 近看的細節, 遠看的顏色, 都要精準地再現.
5.近照特寫. 科學與藝術的結合, 即是仿真.
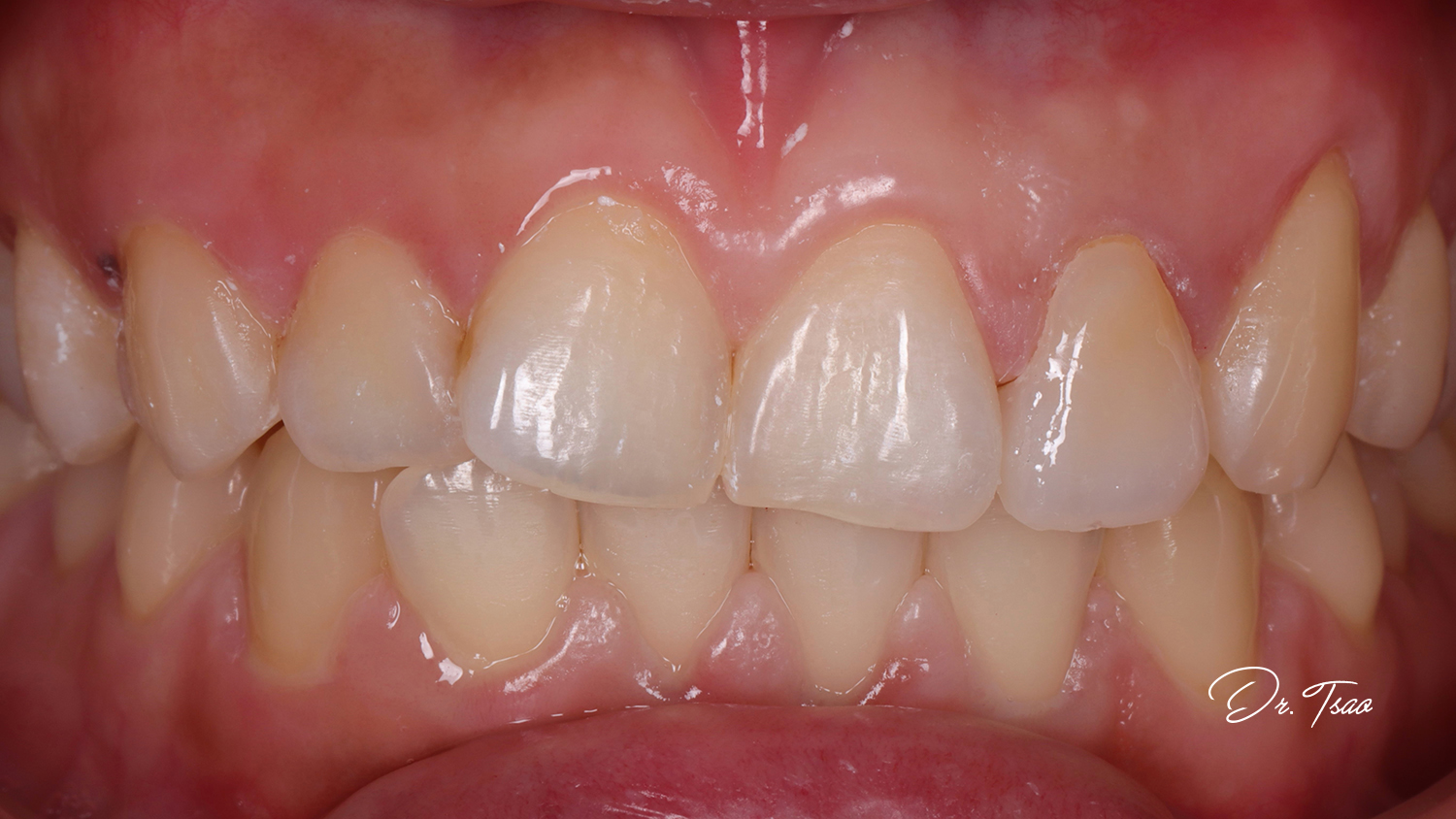
6.口內裝戴. 一眼看去沒有任何突兀, 再看幾眼也非常融入, 這就是我們追求的仿真.
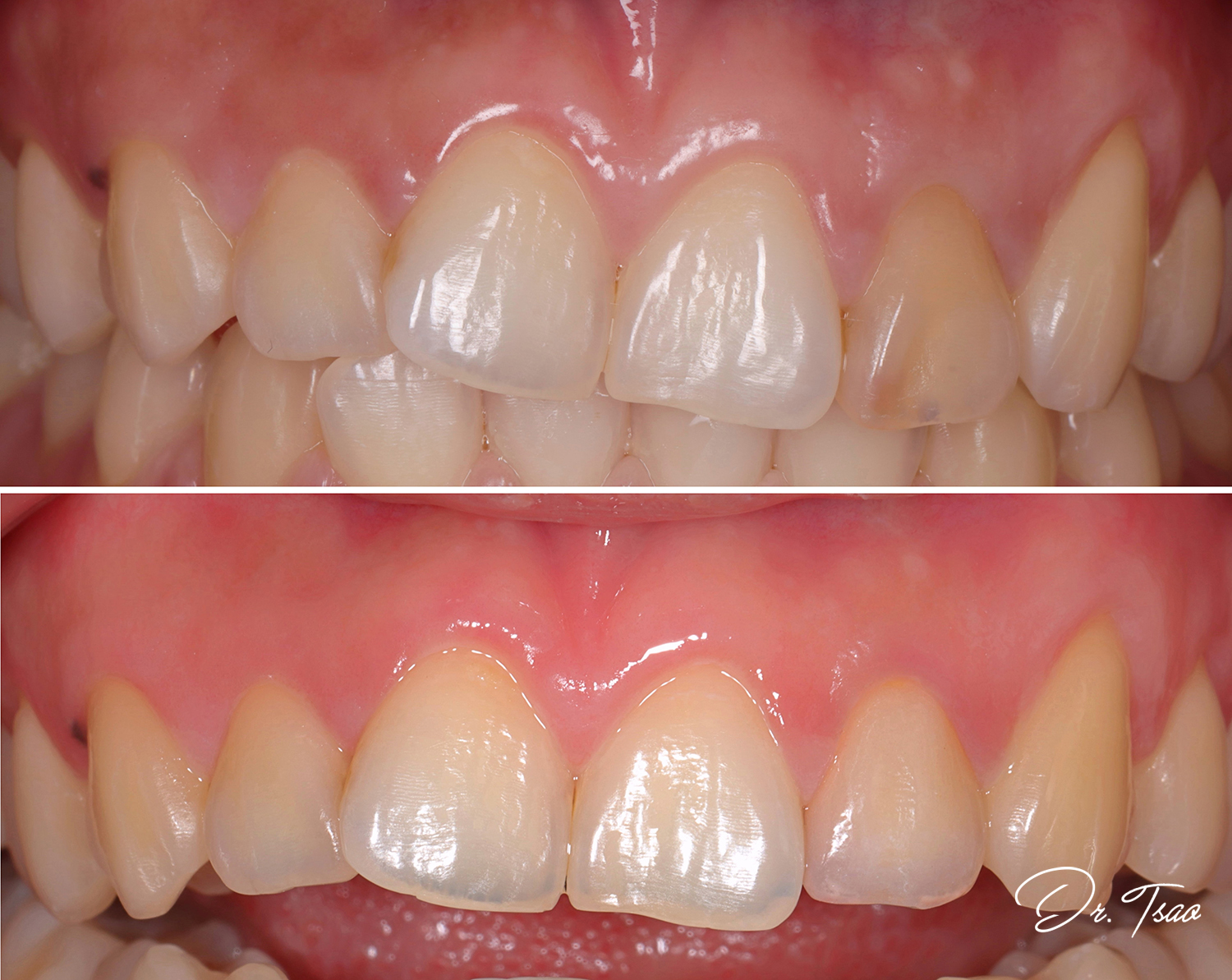
7.術前術後比較. 單顆仿真修復雖然不容易, 但是我們依舊傾盡全力.