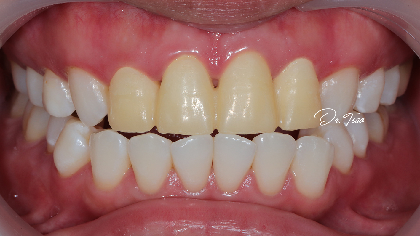
[別讓舊假牙委屈自己]

患者雖然不是很喜歡舊假牙
但也才剛花了不少費用做完
就 勉強的用了好幾年
也 委屈了自己好幾年

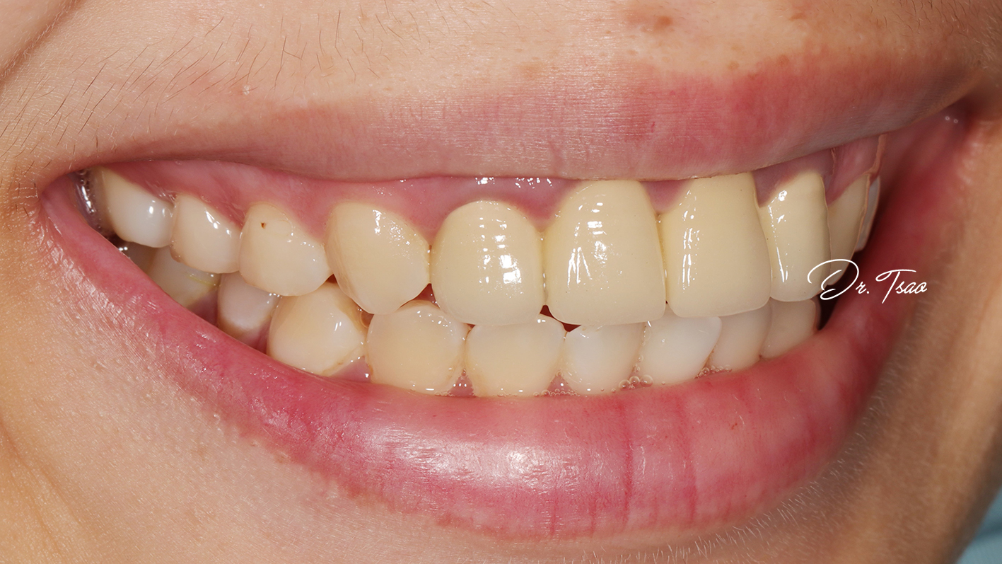
美白加上舊假牙換新後
看到患者滿意的神情
真好

#牙齒美白 #居家美白 #冷光美白 #舊假牙
#全瓷冠 #前牙美學 #仿真全瓷 #曹博竣牙醫師