[超越想像的 仿真修復]

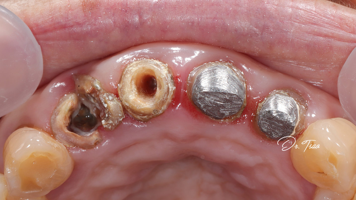
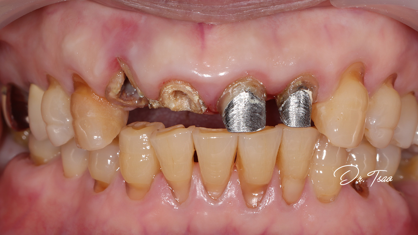
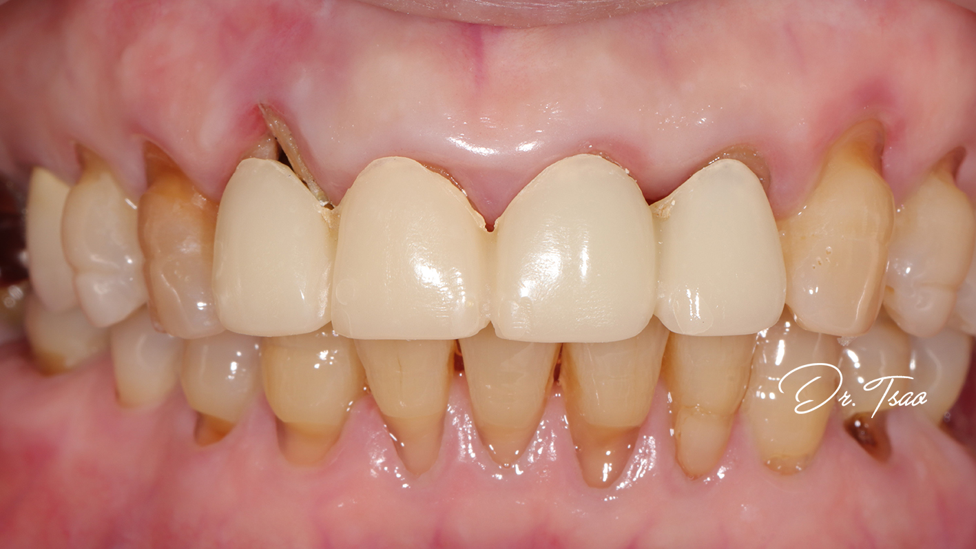
患者經由介紹來到診所時
已經在外院製作了臨時假牙

除了滿足患者不植牙的期待
我們也調整了牙齒的寬長比例
利用仿真全瓷修復
大幅度的改善原本的外觀 遠超過患者的想像


怎麼能不愛 仿真

 

#牙齒美白 #居家美白 #冷光美白
#全瓷冠 #前牙美學 #仿真全瓷
#微笑曲線 #微笑設計 #DSD #曹博竣牙醫師