[可以白幾個色階?]

[可以白幾個色階?]

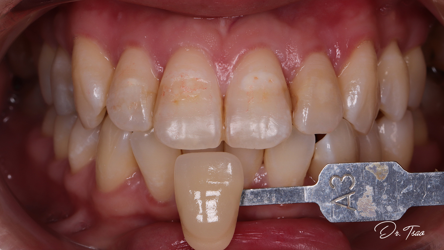
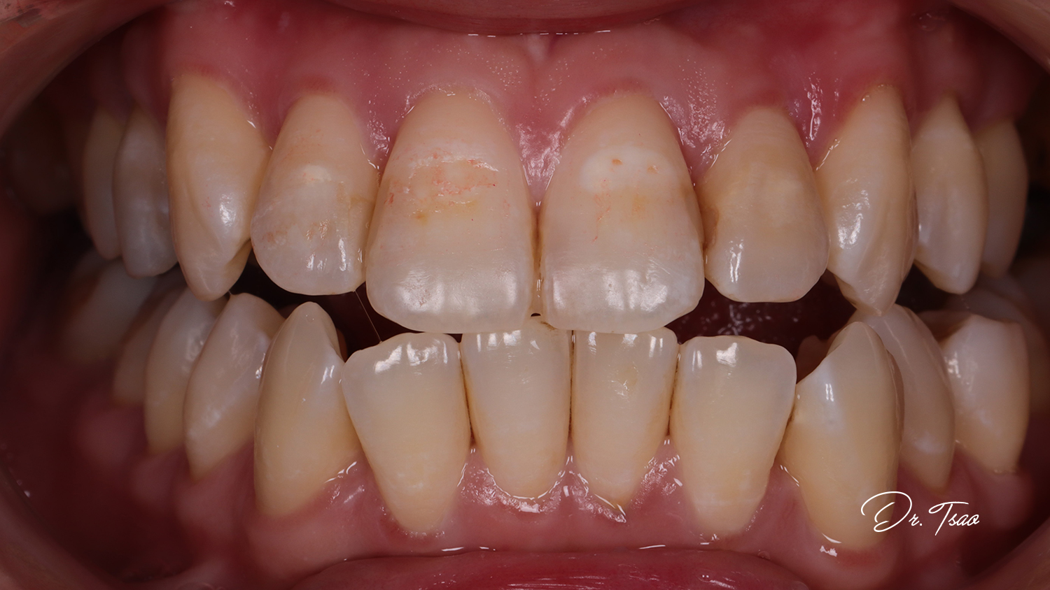
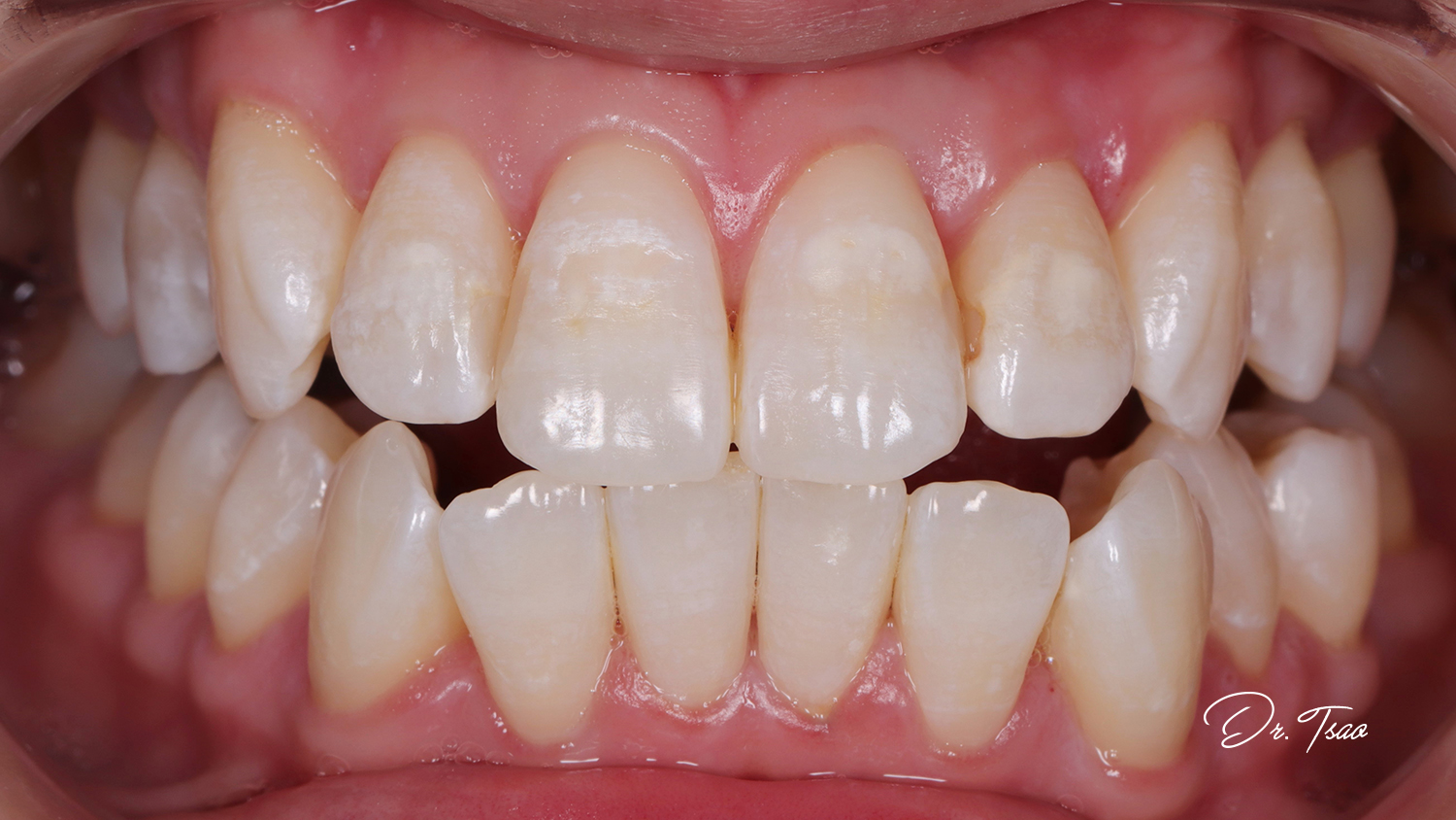
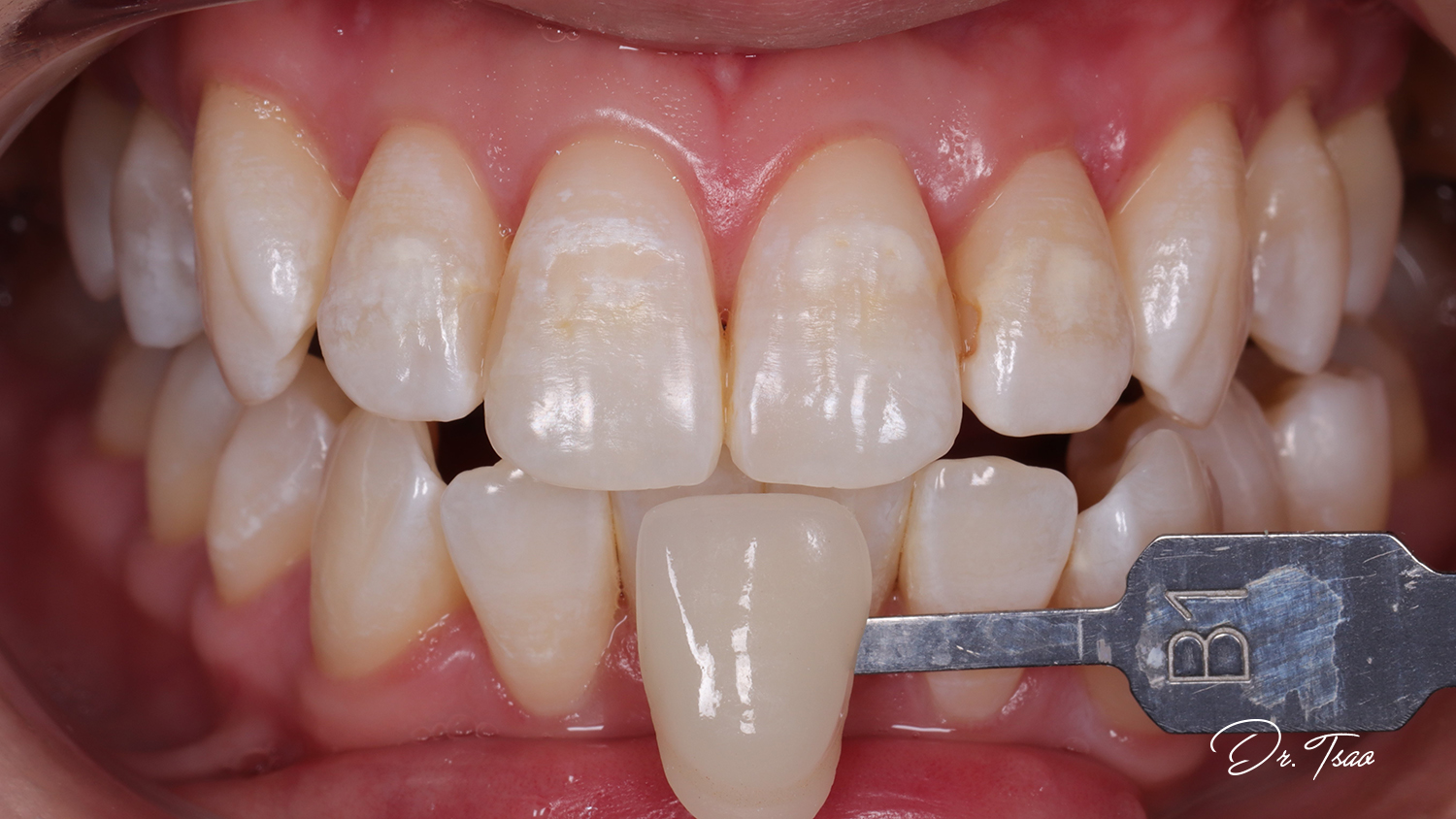
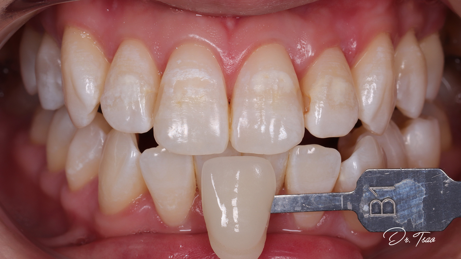
美白的文宣常常標榜變白了幾個色階,

其實有點混淆視聽.
就像一公分可以劃分成10等分, 也可以劃分成100等分,
但其實都一樣長.

真正能變得多白, 用照片最有說服力.

#牙齒美白 #居家美白 # 居美 #冷光美白

#仿真全瓷 #前牙美學
#曹博竣牙醫師