跳至主要內容
Logo1
  • 首頁
  • 關於Dr.曹
  • 前牙美學
  • 人工植牙
  • 陶瓷嵌體
  • 臨床案例
    • 牙齒美白
    • 後牙仿真全瓷
    • 仿真樹脂填補
  • 影音專區
  • 服務據點
  • 文章新知
  • 首頁
  • 關於Dr.曹
  • 前牙美學
  • 人工植牙
  • 陶瓷嵌體
  • 臨床案例
    • 牙齒美白
    • 後牙仿真全瓷
    • 仿真樹脂填補
  • 影音專區
  • 服務據點
  • 文章新知

臨床案例

  • 牙齒美白總覽
07

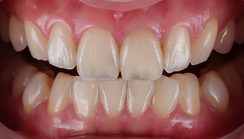
居家美白

2. Img 7211

牙齒美白

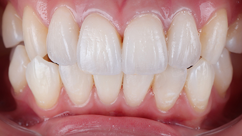
2. Img 7805

牙齒美白

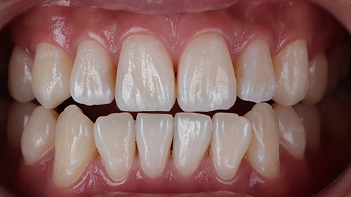
3. Img 8202

美白+仿真全瓷

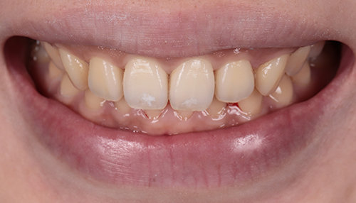
4. Img 7959

牙齒美白

001

牙齒美白

08

噴砂美白

001 (1)

噴砂美白

Footer Logo3
  • 新北市板橋區民權路210號
  • 02-82752838
  • 新北市板橋區民權路210號
  • 02-82752838
Facebook Instagram Line Youtube
行事曆 底

Copyright © 2020 Prosthotsao.com

前牙
美學
人工
植牙
Line Icon
陶瓷
嵌體
牙齒
美白